An AI program was successfully able to detect breast cancer in a woman four years before it developed.
While some developments of AI can sound pretty scary there are times when advancements in technology can do a great deal of good.
Certain forms of technology are being used to help diagnose conditions that impair a person’s mobility and there have been advances in the way we’re using Artificial Intelligence too.
AI is being used in cancer screening technology to pick up potential issues long before they develop into something harmful.
This technology is currently being used to great success in Hungary, while the US, UK and the rest of Europe are also looking at testing it for themselves.
While there are still many hurdles to get through, this technology could be a valuable tool for radiologists and ultimately be a lifesaver.

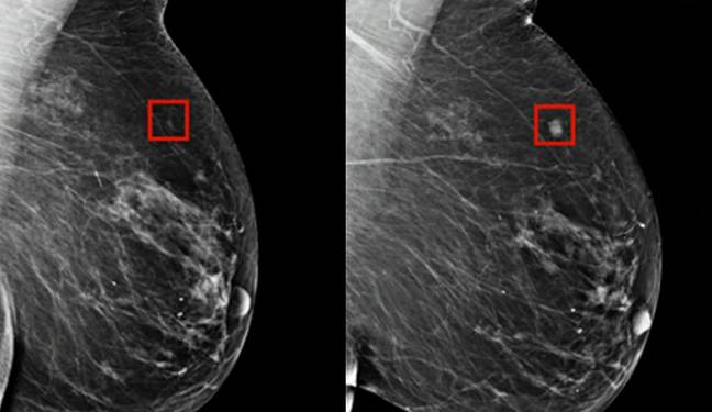
Speaking to CNN, Dr Larry Norton of the Lauder Breast Center explained that while the technology has been around for decades AI is becoming a useful tool in refining the process and helping identify potential health issues.
He said: “AI is a tool that machines use for looking at images and comparing those images to ones that have already been recorded in the machine to identify abnormalities.
“This technology can look at mammograms and identify areas that a human radiologist may want to look at more carefully.
“It’s called computer assisted detection, it’s actually been around since the late 1990s but the technology is improving.”
Dr Norton went on to explain how the technology worked, saying: “There’s lots of abnormalities that you see, they’re changes that are not really cancer. You can’t call everything cancer because anyone going for a mammogram is gonna need a biopsy. That’s not very practical.
“What this work does is it identifies risk. It can tell a woman ‘you’re at high risk of developing breast cancer’ before you develop breast cancer.”
However, he stressed that while AI had made some impressive advancements, this technology was in place to help human decision-makers rather than outright replace medical professionals.
“One thing humans can do that machines can’t do is order special tests. Things like contrast enhanced mammograms and MRIs,” Dr Norton said.
“The other thing humans can do is look at previous mammograms and see if there’s any changes.”
“We’ve got to think of AI as a tool for helping radiologists look at the images better. It’s not a standalone test, it’s not gonna replace a radiologist.”
According to the New York Times, the use of this AI technology in breast cancer screening has reduced the workload of a radiologist by around 30 percent while increasing cancer detection rates by 13 percent which sounds like entirely positive news.
They also report that the AI was tested with some of the most challenging cancer cases where the early signs of breast cancer had not been spotted by radiologists, with the AI successfully managing to identify the cancer.



